![]()
Τι Είναι οι Οδοντικές Όψεις;
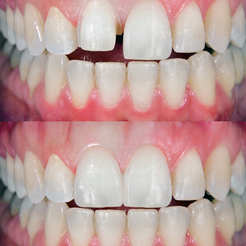
Οι οδοντικές όψεις (veneers) αποτελούν λεπτά κελύφη που τοποθετούνται στην εμπρόσθια επιφάνεια των δοντιών, μεταμορφώνοντας το χαμόγελο σε ελάχιστες συνεδρίες. Πρόκειται για μία από τις πιο δημοφιλείς εφαρμογές της αισθητικής οδοντιατρικής, καθώς μπορούν να διορθώσουν αποχρωματισμούς, σπασίματα, κενά μεταξύ των δοντιών και ανομοιομορφίες στο σχήμα. Στην κλινική μας στην Αργυρούπολη, η τοποθέτηση όψεων γίνεται με σύγχρονες τεχνικές που εξασφαλίζουν φυσικό αποτέλεσμα και μακροχρόνια αντοχή.
Η βασική ερώτηση που τίθεται σε κάθε ασθενή είναι: όψεις πορσελάνης ή ρητίνης; Η απάντηση δεν είναι απλή, καθώς εξαρτάται από πολλούς παράγοντες — από τον προϋπολογισμό και τις αισθητικές προσδοκίες μέχρι την κατάσταση των δοντιών και τις συνήθειες του ασθενούς. Σε αυτόν τον πλήρη οδηγό, συγκρίνουμε αναλυτικά τα δύο υλικά ώστε να μπορέσετε να πάρετε μια ενημερωμένη απόφαση. Για μια πρώτη αξιολόγηση, μπορείτε επίσης να διαβάσετε τη σύγκριση όψεων πορσελάνης και ρητίνης που έχουμε δημοσιεύσει.
Όψεις Πορσελάνης: Η Premium Λύση
Διαδικασία Τοποθέτησης
Η τοποθέτηση όψεων πορσελάνης απαιτεί συνήθως δύο έως τρεις συνεδρίες. Στην πρώτη, πραγματοποιείται η αρχική εξέταση και ο σχεδιασμός του χαμογέλου (smile design). Ο οδοντίατρος λαμβάνει αποτυπώματα, φωτογραφίες και, όταν κρίνεται απαραίτητο, ψηφιακή σάρωση. Η ακτινοδιαγνωστική αξιολόγηση βοηθά στον έλεγχο της υγείας των δοντιών πριν από οποιαδήποτε παρέμβαση.
Στη δεύτερη συνεδρία, γίνεται η ελάχιστη τροχισμός (preparation) της εμπρόσθιας επιφάνειας — συνήθως αφαιρείται στρώμα πάχους 0,3-0,7 χιλιοστών. Τοποθετούνται προσωρινές όψεις ενώ το οδοντοτεχνικό εργαστήριο κατασκευάζει τις τελικές. Στην τρίτη συνεδρία, οι πορσελάνινες όψεις συγκολλούνται μόνιμα με ειδική ρητινώδη κονία.
Πλεονεκτήματα Πορσελάνης
- Εξαιρετική αισθητική: Η πορσελάνη μιμείται τέλεια τη διαφάνεια και τη λάμψη του φυσικού σμάλτου, δίνοντας αποτέλεσμα αδιάκριτο από τα φυσικά δόντια.
- Αντοχή στις χρωστικές: Η πορσελάνη είναι υαλώδες υλικό με εξαιρετικά λεία επιφάνεια — δεν απορροφά χρωστικές από καφέ, κρασί ή τσάι, σύμφωνα με την Αμερικανική Οδοντιατρική Εταιρεία (ADA).
- Μεγάλη διάρκεια ζωής: Με σωστή φροντίδα, οι πορσελάνινες όψεις διαρκούν 10-15 χρόνια ή και περισσότερο.
- Βιοσυμβατότητα: Η πορσελάνη είναι απόλυτα βιοσυμβατή με τους ιστούς των ούλων και δεν προκαλεί αλλεργικές αντιδράσεις.
- Σταθερότητα χρώματος: Το χρώμα δεν αλλοιώνεται με τον χρόνο, διατηρώντας τη λευκότητα για χρόνια.
Μειονεκτήματα Πορσελάνης
- Υψηλότερο κόστος: Η τιμή ανά δόντι κυμαίνεται μεταξύ 400 και 800 ευρώ, ανάλογα με την πολυπλοκότητα.
- Μη αναστρέψιμη διαδικασία: Η τροχισμός του σμάλτου σημαίνει ότι τα δόντια θα χρειάζονται πάντα κάλυψη.
- Δεν επιδιορθώνονται εύκολα: Σε περίπτωση σπασίματος ή ρωγμής, η πορσελάνινη όψη πρέπει να αντικατασταθεί ολόκληρη.
- Περισσότερες συνεδρίες: Η διαδικασία χρειάζεται τουλάχιστον 2-3 επισκέψεις λόγω εργαστηριακής κατασκευής.
Όψεις Ρητίνης (Σύνθετης): Η Οικονομική Εναλλακτική
Διαδικασία Τοποθέτησης
Οι όψεις ρητίνης τοποθετούνται συνήθως σε μία μόνο συνεδρία. Ο οδοντίατρος εφαρμόζει στρώσεις σύνθετης ρητίνης (composite) απευθείας στο δόντι, σμιλεύοντας και μορφοποιώντας κάθε στρώση με ακρίβεια. Κάθε στρώμα πολυμερίζεται (σκληραίνει) με ειδικό φωτοπολυμερισμό. Η τεχνική ονομάζεται «direct bonding» και χρειάζεται ελάχιστη ή καθόλου τροχισμός (no-prep veneers).
Η διαδικασία μοιάζει αρκετά με αυτή του σφραγίσματος δοντιών, καθώς χρησιμοποιείται παρόμοιο σύνθετο υλικό, αλλά με εξειδικευμένη αισθητική τεχνική. Σε αντίθεση με τις πορσελάνινες, δεν απαιτείται εργαστηριακή κατασκευή.
Πλεονεκτήματα Ρητίνης
- Χαμηλότερο κόστος: Η τιμή κυμαίνεται μεταξύ 150 και 350 ευρώ ανά δόντι.
- Ταχύτητα: Η τοποθέτηση ολοκληρώνεται σε μία συνεδρία.
- Ελάχιστη τροχισμός: Σε πολλές περιπτώσεις δεν χρειάζεται τροχισμός του δοντιού, γεγονός που κάνει τη διαδικασία αναστρέψιμη.
- Εύκολη επιδιόρθωση: Σε περίπτωση φθοράς ή σπασίματος, ο οδοντίατρος μπορεί να επιδιορθώσει την όψη χωρίς αντικατάσταση.
- Λιγότερο επεμβατική: Ιδανική για νεαρούς ασθενείς ή για δοκιμαστική αισθητική βελτίωση.
Μειονεκτήματα Ρητίνης
- Μικρότερη διάρκεια ζωής: Κατά μέσο όρο 5-7 χρόνια, σύμφωνα με δημοσιεύσεις στο PubMed.
- Ευαισθησία στους χρωματισμούς: Η ρητίνη είναι πιο πορώδης και απορροφά σταδιακά χρωστικές ουσίες.
- Λιγότερο φυσική αίσθηση: Παρότι η τεχνολογία έχει βελτιωθεί, η πορσελάνη εξακολουθεί να υπερέχει αισθητικά.
- Τακτικό γυάλισμα: Χρειάζεται περιοδικό γυάλισμα για τη διατήρηση της λάμψης.
Αναλυτική Σύγκριση: Πορσελάνη vs Ρητίνη
Κόστος στην Ελλάδα
Ο οικονομικός παράγοντας είναι συχνά καθοριστικός. Στην ελληνική αγορά, η τιμή μιας πορσελάνινης όψης κυμαίνεται από 400 έως 800 ευρώ ανά δόντι, ενώ μιας όψης σύνθετης ρητίνης από 150 έως 350 ευρώ. Για ένα πλήρες smile makeover 6-10 δοντιών, η διαφορά μπορεί να φτάσει τις χιλιάδες ευρώ. Ωστόσο, αν λάβουμε υπόψη τη μεγαλύτερη διάρκεια ζωής της πορσελάνης, το μακροπρόθεσμο κόστος μπορεί να εξισωθεί.
Στην κλινική μας, παρέχουμε αναλυτική κοστολόγηση πριν από κάθε θεραπεία ώστε ο ασθενής να γνωρίζει ακριβώς το οικονομικό πλαίσιο. Ζητήστε πρώτο ραντεβού για εξατομικευμένη αξιολόγηση.
Αισθητικό Αποτέλεσμα
Η πορσελάνη υπερτερεί σαφώς στην αναπαραγωγή της φυσικής διαφάνειας του σμάλτου. Το φως διαπερνά τη δομή της πορσελάνης όπως ακριβώς και το φυσικό δόντι, δημιουργώντας φωτεινότητα και βάθος χρώματος. Η ρητίνη, αν και έχει βελτιωθεί σημαντικά με τα σύγχρονα nanocomposite υλικά, παραμένει ελαφρώς πιο αδιαφανής.
Η επιλογή χρώματος γίνεται και στα δύο υλικά με κλίμακα VITA, αλλά η πορσελάνη προσφέρει μεγαλύτερη ακρίβεια στις αποχρώσεις. Η NIDCR αναφέρει ότι οι κεραμικές αποκαταστάσεις παρέχουν το πλέον φυσικό αισθητικό αποτέλεσμα στη σύγχρονη οδοντιατρική.
Αντοχή και Ανθεκτικότητα
Η πορσελάνη είναι σκληρότερη και ανθεκτικότερη σε μηχανικές δυνάμεις. Αντέχει τις δυνάμεις μάσησης χωρίς σημαντική φθορά για πάνω από μία δεκαετία. Η ρητίνη, αν και αρκετά ανθεκτική, είναι πιο ευαίσθητη στη φθορά από τη μάσηση και μπορεί να εμφανίσει μικρορωγμές ή απολέπιση με τον χρόνο.
Αξίζει να σημειωθεί ότι κανένα από τα δύο υλικά δεν αντέχει σε βρυγμό (τρίξιμο δοντιών). Εάν ο ασθενής έχει βρυγμό, θα πρέπει να αντιμετωπιστεί πρώτα, ανεξαρτήτως υλικού. Αυτό αξιολογείται κατά την πρώτη εξέταση.
Αντίσταση στους Λεκέδες
Ένα από τα μεγαλύτερα πλεονεκτήματα της πορσελάνης είναι η αντίστασή της στους λεκέδες. Η υαλώδης δομή της δεν επιτρέπει στις χρωστικές ουσίες να εισχωρήσουν. Αντίθετα, η σύνθετη ρητίνη μπορεί σταδιακά να κιτρινίσει ή να αποκτήσει αποχρωματισμό, ιδίως σε ασθενείς που καταναλώνουν συχνά καφέ, κρασί ή τσιγάρα. Η τακτική επίσκεψη για καθαρισμό δοντιών βοηθά στη διατήρηση της εμφάνισης και στα δύο υλικά.
Επιδιορθωσιμότητα
Εδώ υπερτερεί σαφώς η ρητίνη. Σε περίπτωση μικρού σπασίματος ή φθοράς, ο οδοντίατρος μπορεί να προσθέσει νέο υλικό και να επιδιορθώσει την όψη σε λίγα λεπτά. Η πορσελάνη δεν είναι επιδιορθώσιμη — εάν σπάσει, πρέπει να αντικατασταθεί ολόκληρη η όψη, πράγμα που σημαίνει νέο κόστος και νέες συνεδρίες.
Τροχισμός και Αναστρεψιμότητα
Η τροχισμός (preparation) αποτελεί σημαντικό κριτήριο. Οι πορσελάνινες όψεις απαιτούν αφαίρεση 0,3-0,7 mm σμάλτου, πράγμα που σημαίνει ότι η διαδικασία είναι μη αναστρέψιμη. Τα δόντια θα χρειάζονται κάλυψη εφεξής. Οι όψεις ρητίνης, αντίθετα, μπορούν να τοποθετηθούν χωρίς τροχισμός ή με ελάχιστη παρέμβαση, καθιστώντας τη διαδικασία αναστρέψιμη.
Για ασθενείς κάτω των 25 ετών, ο Ελληνική Οδοντιατρική Ομοσπονδία συνιστά συντηρητικές λύσεις που διατηρούν τη δομή του δοντιού.
Η Διαδικασία Smile Design
Πριν από την τοποθέτηση όψεων, πραγματοποιούμε ολοκληρωμένο σχεδιασμό χαμογέλου (smile design). Η διαδικασία περιλαμβάνει:
- Ψηφιακές φωτογραφίες: Φωτογράφιση του προσώπου και του χαμογέλου από πολλαπλές γωνίες.
- Ψηφιακή σάρωση: Τρισδιάστατη σάρωση του στόματος με ενδοστοματικό scanner.
- Digital smile design: Σχεδιασμός στον υπολογιστή με προσομοίωση του τελικού αποτελέσματος.
- Wax-up ή mock-up: Δοκιμαστική τοποθέτηση στο στόμα ώστε ο ασθενής να δει το αποτέλεσμα πριν τη θεραπεία.
Αυτή η διαδικασία γίνεται σε συνεργασία με τον ασθενή. Κάθε λεπτομέρεια — μήκος, σχήμα, χρώμα, ευθυγράμμιση — συζητείται και εγκρίνεται πριν προχωρήσουμε.
Σε Ποιες Περιπτώσεις Ταιριάζει Κάθε Υλικό;
Πότε να Επιλέξετε Πορσελάνη
- Θέλετε το μέγιστο αισθητικό αποτέλεσμα και δεν σας περιορίζει ο προϋπολογισμός.
- Έχετε σημαντικούς αποχρωματισμούς (π.χ. τετρακυκλίνες) που δεν βελτιώνονται με λεύκανση δοντιών.
- Θέλετε αποτέλεσμα μεγάλης διάρκειας χωρίς τακτική συντήρηση.
- Πίνετε πολύ καφέ ή κρασί και ανησυχείτε για λεκέδες.
- Χρειάζεστε μεγαλύτερες αλλαγές σε σχήμα και χρώμα.
Πότε να Επιλέξετε Ρητίνη
- Θέλετε μια οικονομικότερη λύση που εξακολουθεί να προσφέρει ωραίο αποτέλεσμα.
- Θέλετε αναστρέψιμη διαδικασία — ιδιαίτερα αν είστε νεαρής ηλικίας.
- Χρειάζεστε γρήγορη λύση σε μία μόνο συνεδρία.
- Θέλετε να «δοκιμάσετε» τις όψεις πριν δεσμευτείτε σε πορσελάνη.
- Οι αλλαγές που χρειάζεστε είναι μικρές (ελαφρά κενά, μικρά σπασίματα).
Πότε οι Όψεις ΔΕΝ Είναι η Κατάλληλη Λύση
Δεν χρειάζεται κάθε ασθενής όψεις. Σε αρκετές περιπτώσεις, υπάρχουν καλύτερες εναλλακτικές:
- Δυσχρωμία χωρίς δομικά προβλήματα: Η επαγγελματική λεύκανση μπορεί να επιλύσει το πρόβλημα οικονομικά. Διαβάστε σχετικά στο άρθρο μας για τη λεύκανση στο σπίτι ή επαγγελματική.
- Στραβά δόντια: Η ορθοδοντική θεραπεία (σιδεράκια ή διαφανείς νάρθηκες) αντιμετωπίζει τη δυσαρμονία στη ρίζα. Η σύγκριση σιδεράκια-νάρθηκες θα σας βοηθήσει στην επιλογή.
- Εκτεταμένες βλάβες: Δόντια με μεγάλα σπασίματα ή τερηδόνες μπορεί να χρειάζονται προσθετική αποκατάσταση με στεφάνη αντί για όψη.
- Ουλοπαθολογία: Πρέπει πρώτα να αντιμετωπιστεί η περιοδοντίτιδα πριν από οποιαδήποτε αισθητική εργασία. Ανατρέξτε στο άρθρο για τα συμπτώματα της περιοδοντίτιδας.
Ποιος Είναι Κατάλληλος Υποψήφιος για Όψεις;
Ο ιδανικός υποψήφιος για όψεις πρέπει να πληροί τα εξής κριτήρια:
- Υγιή ούλα χωρίς ενεργή περιοδοντική νόσο.
- Επαρκές σμάλτο στα δόντια (ιδίως για πορσελάνινες όψεις).
- Καλή στοματική υγιεινή και δέσμευση στη φροντίδα.
- Ρεαλιστικές προσδοκίες σχετικά με το αποτέλεσμα.
- Απουσία βρυγμού ή αντιμετώπιση με ναρθήκα (nightguard).
Η αξιολόγηση γίνεται κατά την πρώτη εξέταση στην κλινική μας, όπου ο ασθενής ενημερώνεται πλήρως για τις διαθέσιμες επιλογές.
Συντήρηση και Φροντίδα Μετά την Τοποθέτηση
Ανεξαρτήτως υλικού, η σωστή φροντίδα είναι απαραίτητη:
- Βούρτσισμα: Δύο φορές ημερησίως με μαλακή οδοντόβουρτσα. Αποφύγετε βουρτσίσματα με πολύ σκληρές τρίχες.
- Οδοντικό νήμα: Καθημερινή χρήση για τον καθαρισμό μεσοδόντιων χώρων.
- Τακτικός καθαρισμός: Επαγγελματικός καθαρισμός δοντιών κάθε 6 μήνες.
- Αποφυγή σκληρών τροφών: Μην δαγκώνετε πάγο, σκληρά κουκούτσια ή μη εδώδιμα αντικείμενα.
- Ναρθήκας νυχτός: Εάν υπάρχει βρυγμός, η χρήση ναρθήκα προστατεύει τις όψεις.
Ο Παγκόσμιος Οργανισμός Υγείας τονίζει ότι η προληπτική οδοντιατρική φροντίδα αποτελεί τη βάση για τη διατήρηση οποιασδήποτε αποκατάστασης.
Συχνά Λάθη στην Επιλογή Όψεων
Στην κλινική πράξη, παρατηρούμε συχνά λάθη που μπορούν να αποφευχθούν:
- Επιλογή βάσει μόνο κόστους: Η φθηνότερη λύση δεν είναι πάντα η πιο συμφέρουσα μακροπρόθεσμα.
- Μη ρεαλιστικές προσδοκίες: Οι όψεις βελτιώνουν αλλά πρέπει να ταιριάζουν με τα χαρακτηριστικά του προσώπου.
- Αγνόηση υποκείμενων προβλημάτων: Τερηδόνες, ουλίτιδα ή βρυγμός πρέπει να αντιμετωπιστούν πρώτα.
- Υπερβολικά λευκό χρώμα: Η πολύ λευκή απόχρωση φαίνεται αφύσικη. Ένας ειδικός θα σας κατευθύνει στο σωστό χρώμα.
Τελικός Πίνακας Σύγκρισης
Ακολουθεί μια συνοπτική αντιπαράθεση των δύο υλικών:
- Διάρκεια ζωής: Πορσελάνη 10-15 χρόνια | Ρητίνη 5-7 χρόνια
- Κόστος/δόντι: Πορσελάνη 400-800€ | Ρητίνη 150-350€
- Συνεδρίες: Πορσελάνη 2-3 | Ρητίνη 1
- Αισθητική: Πορσελάνη εξαιρετική | Ρητίνη πολύ καλή
- Χρωματισμοί: Πορσελάνη ανθεκτική | Ρητίνη ευάλωτη
- Επιδιόρθωση: Πορσελάνη αντικατάσταση | Ρητίνη εύκολη επιδιόρθωση
- Τροχισμός: Πορσελάνη ελάχιστη (μη αναστρέψιμη) | Ρητίνη ελάχιστη-καθόλου
- Αναστρεψιμότητα: Πορσελάνη όχι | Ρητίνη ναι (no-prep)
Συμπέρασμα
Η επιλογή μεταξύ πορσελάνης και ρητίνης εξαρτάται από τις ανάγκες, τον προϋπολογισμό και τους στόχους κάθε ασθενούς. Η πορσελάνη παραμένει η premium λύση για μακροχρόνιο, αψεγάδιαστο αποτέλεσμα, ενώ η ρητίνη προσφέρει μια οικονομικότερη, αναστρέψιμη και γρήγορη εναλλακτική. Σε κάθε περίπτωση, η σωστή διάγνωση και ο εξατομικευμένος σχεδιασμός είναι αυτά που κάνουν τη διαφορά στο τελικό αποτέλεσμα.
Στο Hellinicon Dental, αξιολογούμε προσεκτικά κάθε περίπτωση και προτείνουμε τη λύση που ταιριάζει πραγματικά στον ασθενή — όχι απλώς τη φθηνότερη ή την ακριβότερη. Επικοινωνήστε μαζί μας ή κλείστε ραντεβού για να σχεδιάσουμε μαζί το χαμόγελο που σας αξίζει.
Συχνές Ερωτήσεις
Ποιες όψεις διαρκούν περισσότερο;
Οι όψεις πορσελάνης 10–15 χρόνια, οι ρητίνης 5–7 χρόνια.
Καταστρέφουν τα δόντια;
Όχι αν τοποθετηθούν σωστά. Οι minimal-prep όψεις αφαιρούν ελάχιστη αδαμαντίνη (0,3–0,5mm).
Πόσο κοστίζουν;
Ρητίνης 150–350€/δόντι, πορσελάνης 400–800€/δόντι.
Είναι αναστρέψιμες;
Οι ρητίνης ναι. Οι πορσελάνης όχι, γιατί αφαιρείται αδαμαντίνη που δεν αναπληρώνεται.
Μπορώ να κάνω λεύκανση με όψεις;
Όχι, οι όψεις δεν λευκαίνονται. Κάντε λεύκανση ΠΡΙΝ την τοποθέτηση για να ταιριάξει το χρώμα.
Ονειρεύεστε ένα Λαμπερό Χαμόγελο;
Κλείστε ένα πρώτο ραντεβού στο Hellinicon Dental στην Αργυρούπολη και ανακαλύψτε ποια λύση — πορσελάνη ή ρητίνη — ταιριάζει ιδανικά σε εσάς. Ο Δρ. Πίσσης και η ομάδα μας θα σχεδιάσουν μαζί σας το χαμόγελο που σας αξίζει, με σύγχρονες τεχνικές και εξατομικευμένη προσέγγιση.
Η καλέστε στο 210 990 1009