15 Μαρ 2026
Όψεις Πορσελάνης ή Ρητίνης; Πλήρης Σύγκριση
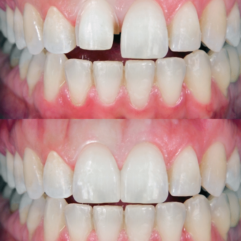
Οι οδοντικές όψεις (veneers) αποτελούν λεπτά κελύφη που τοποθετούνται στην εμπρόσθια επιφάνεια των δοντιών, μεταμορφώνοντας το χαμόγελο σε ελάχιστες συνεδρίες.…
Διαβάστε περισσότερα →Άρθρα για την αισθητική οδοντιατρική: όψεις πορσελάνης και ρητίνης, λεύκανση δοντιών στο σπίτι ή στο ιατρείο. Συγκρίσεις, κόστος και αποτελέσματα για ένα λαμπερό χαμόγελο.