Όψεις Ρητίνης

Αποκτήστε ένα όμορφο και λαμπερό χαμόγελο

Όψεις ρητίνης

Οι όψεις ρητίνης αποτελούν μία από τις πιο δημοφιλείς επιλογές στην αισθητική οδοντιατρική, προσφέροντας ένα άμεσο και εντυπωσιακό αποτέλεσμα για όσους επιθυμούν ένα όμορφο χαμόγελο.

Από τη διόρθωση αποχρωματισμών έως τη βελτίωση της διάταξης των δοντιών, οι όψεις ρητίνης προσφέρουν μια ελάχιστα επεμβατική λύση με φυσικό αποτέλεσμα.

Τι είναι οι όψεις ρητίνης;

Οι όψεις ρητίνης είναι λεπτά φύλλα σύνθετης ρητίνης που τοποθετούνται στην εξωτερική επιφάνεια των δοντιών για να βελτιώσουν την εμφάνισή τους.

Πρόκειται για μια διαδικασία που δεν απαιτεί έντονο τρόχισμα των δοντιών και είναι ιδανική για όσους αναζητούν μια γρήγορη λύση σε προβλήματα όπως δυσχρωμίες, μικρά σπασίματα ή ανωμαλίες στην επιφάνεια των δοντιών.

Πλεονεκτήματα και μειονεκτήματα των όψεων ρητίνης

Οι όψεις ρητίνης είναι μια εξαιρετική επιλογή στην αισθητική οδοντιατρική, ιδανικές για όσους αναζητούν βελτίωση της εμφάνισης του χαμόγελού τους.

Ένα από τα κύρια πλεονεκτήματα είναι το χαμηλότερο κόστος τους, καθιστώντας τες προσιτές σε σύγκριση με τις ολοκεραμικές όψεις.

Η τοποθέτησή τους είναι απλή και απαιτεί ελάχιστο τρόχισμα, διατηρώντας τη φυσική δομή των δοντιών.

Οι όψεις ρητίνης προσαρμόζονται στο χρώμα των δοντιών, εξασφαλίζοντας ένα φυσικό και ομοιόμορφο αποτέλεσμα.

Ωστόσο, έχουν μικρότερη ανθεκτικότητα σε σχέση με άλλες επιλογές και μπορεί να χρειαστούν επισκευή ή αντικατάσταση.

Επίσης, η ρητίνη είναι ευαίσθητη στους λεκέδες από τρόφιμα όπως ο καφές, καθιστώντας τη σωστή φροντίδα απαραίτητη για να διατηρηθεί η λαμπρότητά τους.

Διαδικασία τοποθέτησης όψεων ρητίνης

Η τοποθέτηση όψεων ρητίνης είναι μια γρήγορη και αποτελεσματική διαδικασία που βελτιώνει άμεσα την αισθητική των δοντιών.

Αρχικά, ο οδοντίατρος πραγματοποιεί μια λεπτομερή εξέταση των δοντιών, λαμβάνοντας υπόψη τις αισθητικές ανάγκες του ασθενούς. Μετά την αρχική αξιολόγηση, επιλέγεται το κατάλληλο χρώμα ρητίνης ώστε να ταιριάζει με το φυσικό χρώμα των δοντιών, προσφέροντας ένα ομοιόμορφο και φυσικό αποτέλεσμα.

Η ρητίνη εφαρμόζεται προσεκτικά στην επιφάνεια των δοντιών και διαμορφώνεται με ακρίβεια για να αποκτήσει το ιδανικό σχήμα.

Η σκλήρυνση γίνεται με τη χρήση ειδικού φωτός, δημιουργώντας έναν σταθερό δεσμό μεταξύ της ρητίνης και του δοντιού.

Τέλος, ο οδοντίατρος προσαρμόζει λεπτομερώς την όψη για να εξασφαλίσει την ιδανική εμφάνιση και άψογη εφαρμογή, δίνοντας στο χαμόγελο φυσική λάμψη και αρμονία.

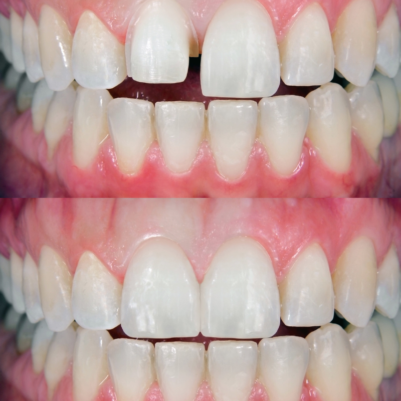
Όψεις ρητίνης πριν και μετά

Οι όψεις ρητίνης μπορούν να μεταμορφώσουν την εμφάνιση του χαμόγελου σας. Πριν την εφαρμογή, μπορεί να υπάρχουν σπασμένα, στραβά ή κιτρινισμένα δόντια, ενώ μετά την εφαρμογή, το χαμόγελο δείχνει ομοιόμορφο και λαμπερό.

Η αισθητική βελτίωση είναι άμεσα ορατή και μπορεί να ενισχύσει σημαντικά την αυτοπεποίθησή σας.

Σύγκριση όψεων ρητίνης και όψεων πορσελάνης

Ένα συχνό ερώτημα αφορά τη διαφορά μεταξύ όψεων ρητίνης και πορσελάνης. Οι όψεις πορσελάνης είναι πιο ανθεκτικές και προσφέρουν μεγαλύτερη διάρκεια ζωής, αλλά έχουν υψηλότερο κόστος και απαιτούν περισσότερο τρόχισμα των δοντιών.

Οι όψεις ρητίνης, από την άλλη, είναι πιο προσιτές και μπορούν να εφαρμοστούν χωρίς ιδιαίτερο τρόχισμα, αλλά μπορεί να χρειαστούν αντικατάσταση μετά από κάποια χρόνια.

Κόστος όψεων ρητίνης

Το κόστος για τις όψεις ρητίνης εξαρτάται από την πολυπλοκότητα της διαδικασίας και το ιατρείο που θα επιλέξετε. Αποτελούν μια οικονομική επιλογή στην αισθητική οδοντιατρική, προσφέροντας βελτίωση στην εμφάνιση του χαμόγελου με φυσικό αποτέλεσμα και ελάχιστο τρόχισμα. Επικοινωνήστε με τον οδοντίατρό σας για μια ακριβή εκτίμηση και εξατομικευμένη προσέγγιση.

Φροντίδα όψεων ρητίνης

Η σωστή φροντίδα των όψεων ρητίνης είναι απαραίτητη για να διατηρηθεί η ανθεκτικότητα και η λάμψη τους για μεγάλο χρονικό διάστημα. Καθημερινό βούρτσισμα των δοντιών δύο φορές την ημέρα βοηθά στην απομάκρυνση υπολειμμάτων τροφών και στην πρόληψη λεκέδων, διατηρώντας το χαμόγελο φρέσκο και φωτεινό. Αποφύγετε να μασάτε σκληρά αντικείμενα, όπως πάγο ή καραμέλες, καθώς αυτό μπορεί να προκαλέσει ρωγμές στις όψεις.

Οι τακτικές επισκέψεις στον οδοντίατρο εξασφαλίζουν ότι οι όψεις παραμένουν σε άριστη κατάσταση, επιτρέποντας την έγκαιρη επισκευή και διατήρηση της άψογης εμφάνισης των δοντιών σας. Με τη σωστή φροντίδα, οι όψεις ρητίνης προσφέρουν μακροχρόνια αισθητική και υγεία.

Επανασχεδιασμός xαμόγελου με όψεις ρητίνης

Ο επανασχεδιασμός του χαμόγελου σας με όψεις ρητίνης μπορεί να αναβαθμίσει την αισθητική σας και να βελτιώσει την ποιότητα ζωής σας. Αν σκέφτεστε να προχωρήσετε σε αυτή τη διαδικασία, επικοινωνήστε με την κλινική μας για να αξιολογήσει τις ανάγκες σας και να σας καθοδηγήσει στο ιδανικό πλάνο θεραπείας.

Γιατί να μας επιλέξετε

Εξειδικευμένοι οδοντίατροι

Έμπειρη ομάδα με συνεχή εκπαίδευση και επιστημονική κατάρτιση

Σύγχρονη Τεχνολογία

Χρησιμοποιούμε τον πιο προηγμένο εξοπλισμό για άνετες και ακριβείς θεραπείες

Με Ανθρωπιά και Σεβασμό

Αντιμετωπίζουμε κάθε ασθενή με κατανόηση και προσωπική φροντίδα

Συχνές Ερωτήσεις όψεις ρητίνης

Τι ακριβώς είναι οι όψεις ρητίνης;

Οι όψεις ρητίνης είναι λεπτές επιστρώσεις σύνθετης ρητίνης που εφαρμόζονται στην επιφάνεια των δοντιών για αισθητική βελτίωση. Χρησιμοποιούνται για να διορθώσουν χρωματικές αλλοιώσεις, μικρά σπασίματα, ανισότητες και διαστήματα στα δόντια, προσφέροντας ένα φυσικό και ομοιόμορφο χαμόγελο. Η διαδικασία τοποθέτησής τους είναι γρήγορη και απαιτεί ελάχιστο τρόχισμα, καθιστώντας τες δημοφιλή επιλογή στην αισθητική οδοντιατρική.

Η αφαίρεση των όψεων ρητίνης απαιτεί προσεκτική εργασία από τον οδοντίατρο για να μην επηρεαστεί η φυσική δομή του δοντιού. Η διαδικασία περιλαμβάνει τη χρήση ειδικών εργαλείων για την αφαίρεση της ρητίνης χωρίς να βλάψει την επιφάνεια του δοντιού. Μετά την αφαίρεση, μπορεί να χρειαστεί λείανση και πιθανή αντικατάσταση με νέες όψεις ή άλλη αισθητική αποκατάσταση για την καλύτερη διατήρηση της αισθητικής του χαμόγελου.

Οι όψεις ρητίνης συνήθως διαρκούν από 5 έως 10 χρόνια, ανάλογα με τη φροντίδα και τις συνήθειες του ασθενή. Η τακτική φροντίδα και οι επισκέψεις στον οδοντίατρο συμβάλλουν στη μακροχρόνια διατήρηση της ποιότητας και της αισθητικής τους.

Ναι! οι όψεις ρητίνης μπορούν να βελτιώσουν την εμφάνιση στραβών δοντιών, προσφέροντας ένα ομοιόμορφο χαμόγελο. Αν και δεν αντικαθιστούν τις ορθοδοντικές θεραπείες, μπορούν να καλύψουν μικρές ανισότητες και να βελτιώσουν την αισθητική διάταξη των δοντιών.

Η τοποθέτηση όψεων ρητίνης είναι μια διαδικασία που ολοκληρώνεται σε μία ή δύο επισκέψεις. Ο οδοντίατρος προετοιμάζει την επιφάνεια του δοντιού και εφαρμόζει τη ρητίνη, διαμορφώνοντάς την ώστε να ταιριάζει με τα υπόλοιπα δόντια. Η διαδικασία ολοκληρώνεται με τη σκλήρυνση της ρητίνης μέσω ειδικού φωτός.

Η αποκατάσταση μετά την τοποθέτηση όψεων ρητίνης είναι γρήγορη και ανώδυνη. Οι περισσότεροι ασθενείς μπορούν να επιστρέψουν στις καθημερινές τους δραστηριότητες την ίδια ημέρα, ενώ είναι σημαντικό να ακολουθούν τις οδηγίες του οδοντιάτρου για τη φροντίδα των νέων όψεων.

Το Οδοντιατρικό Κέντρο βρίσκεται στην Αργυρούπολη, νότια της Αθήνας, εξυπηρετώντας τις γειτονικές περιοχές: Ελληνικό, Άλιμο, Γλυφάδα, Ηλιούπολη και Βούλα.